Les bagues linguales sont fixées à l'intérieur de vos dents. Elles offrent tous les avantages des bagues en métal fixes, mais elles sont complètement invisibles lorsque vous souriez.

Adult treatment with Incognito braces : 6 months to close the gap
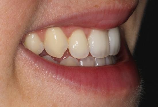
Adult treatment with Incognito braces : before treatment

Un.e adulte avant et après 10 mois de traitement avec des bagues linguales

Qu’est-ce que des bagues linguales?

L’appareil dentaire lingual est fait pour vous si vous souhaitez bénéficier de la précision des appareils dentaires fixes, mais que vous souhaitez éviter l'aspect très visible des bagues traditionnels. Ces appareils sont fabriqués sur mesure à l'aide de logiciels informatiques de pointe qui adaptent parfaitement les brackets et les fils à vos dents, et les rendent à la fois confortables et discrets.

Quels sont les avantages des bagues linguales?

Pour ceux et celles d'entre vous qui sont exposés à un certain public au sein de leur travail ou ont une vie sociale bien remplie, un appareil dentaire lingual est l’option parfaite pour obtenir le sourire dont vous avez toujours rêvé puisque personne ne saura que vous en portez un, à moins d’en parler.

Les bagues linguales sont un choix populaire parmi beaucoup de nos patients. Du fait qu’elles soient fixes, vous n'avez pas besoin de les nettoyer ou de vous rappeler de les mettre en place. Ces bagues assurent un excellent degré de contrôle et de précision et vous pouvez commencer à voir des résultats au bout de seulement quelques semaines, notamment grâce au fait que vos dents ne sont pas cachées par les brackets.

En quoi consiste un traitement chez The Dental Chambers Kensington?

Notre équipe de spécialistes dentaires se consacre à fournir des solutions durables au problème des dents mal alignées. La Dr Marie Heintz est une orthodontiste hautement qualifiée et avant de commencer tout traitement, elle vérifie soigneusement votre santé bucco-dentaire et prend des empreintes et des images numériques de vos dents.

À l'aide d’une technologie 3D spécialisée, la Dr Heintz vous montre comment vos dents bougeront et à quoi elles ressembleront après le traitement. Notre orthodontiste discute ensuite de vos priorités et de vos attentes, afin d’organiser un traitement personnalisé adapté à votre style de vie.

Nous vous fournirons ensuite des appareils dentaires de précision qui s'adapteront parfaitement à vos dents et les déplacerons doucement dans la position souhaitée.

After 12 months
Before treatment

Un.e adulte avant et après 12 mois de traitement avec des bagues linguales

Le suivi de votre progrès

Nous suivons attentivement vos progrès à chaque étape du processus et notre objectif est de vous aider à obtenir un sourire parfait. La Dr Heintz est très expérimentée dans le traitement des cas mineurs et complexes de désalignement des dents nécessitant un appareil dentaire lingual. Elle s’assure toujours d’ajuster soigneusement votre appareil dentaire régulièrement sur plusieurs semaines.

Nous savons que les résultats de votre traitement dépendent de l'expertise de votre orthodontiste et vous commencerez déjà à voir des progrès au bout de quelques semaines, car vos dents restent visibles tout au long du traitement. Les durées d’un traitement varient en fonction de chaque individu. Un traitement peut aussi bien durer 6 mois que 12 ou 18 mois pour les cas les plus complexes.

Visiter notre clinique

Si vous souhaitez en savoir plus ou prendre rendez-vous, appelez-nous au 020 7244 4200 ou prendre rendez-vous en ligne

After 10 months
Before treatment

Un.e adolescent.e avant et après le traitement avec des bagues linguales

Our Patient Reviews

Follow up calls to make sure I was doing well

I am very grateful to Dr Friedmann. He did a very tricky wisdom tooth extraction, took the time to think about how to do it the best way and followed up with two phone calls afterwards to make sure that I was doing well.

Read more

Incredibly professional

Excellent service and experience with Dr Heintz. I highly recommend her. By far, one of the best dentists I have had in London.

Read more

A pleasure to go to the Dentist

A pleasure to go to the dentist when you have a dentist like Dr Friedmann.

Read more

Prendre Rendez-Vous

How We Can Help You

How We Can Help You